中文名稱: 兔抗UBE2D1多克隆抗體
宿 主: Rabbit
|
Background: |
The modification of proteins with ubiquitin is an important cellular mechanism for targeting abnormal or short-lived proteins for degradation. Ubiquitination involves at least three classes of enzymes: ubiquitin-activating enzymes, or E1s, ubiquitin-conjugating enzymes, or E2s, and ubiquitin-protein ligases, or E3s. This gene encodes a member of the E2 ubiquitin-conjugating enzyme family. This enzyme is closely related to a stimulator of iron transport (SFT), and is up-regulated in hereditary hemochromatosis. It also functions in the ubiquitination of the tumor-suppressor protein p53 and the hypoxia-inducible transcription factor HIF1alpha by interacting with the E1 ubiquitin-activating enzyme and the E3 ubiquitin-protein ligases. Two transcript variants encoding different isoforms have been found for this gene. |
|
Applications: |
ELISA, WB, IHC |
|
Name of antibody: |
UBE2D1 |
|
Immunogen: |
Fusion protein of human UBE2D1 |
|
Full name: |
ubiquitin conjugating enzyme E2 D1 |
|
Synonyms: |
SFT; UBCH5; UBC4/5; UBCH5A; E2(17)KB1 |
|
SwissProt: |
P51668 |
|
ELISA Recommended dilution: |
5000-10000 |
|
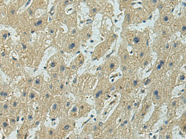
IHC positive control: |
Human liver cancer |
|
IHC Recommend dilution: |
200-400 |
|
WB Predicted band size: |
17 kDa |
|
WB Positive control: |
Jurkat, 231 and LOVO cell lysates |
|
WB Recommended dilution: |
1000-5000 |

購(gòu)物車
幫助
021-54845833/15800441009
