中文名稱:兔抗B3GALNT2多克隆抗體
|
Background: |
This gene encodes a member of the glycosyltransferase 31 family. The encoded protein synthesizes GalNAc:beta-1,3GlcNAc, a novel carbohydrate structure, on N- and O-glycans. Alternatively spliced transcript variants that encode different isoforms have been described. |
|
Applications: |
ELISA, WB, IHC |
|
Name of antibody: |
B3GALNT2 |
|
Immunogen: |
Fusion protein of human B3GALNT2 |
|
Full name: |
beta-1,3-N-acetylgalactosaminyltransferase 2 |
|
Synonyms: |
MDDGA11; B3GalNAc-T2 |
|
SwissProt: |
Q8NCR0 |
|
ELISA Recommended dilution: |
5000-10000 |
|
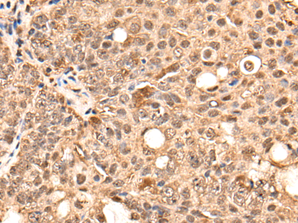
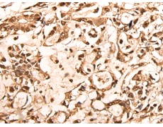
IHC positive control: |
Human ovarian cancer and human gastric cancer |
|
IHC Recommend dilution: |
25-100 |
|
WB Predicted band size: |
57 kDa |
|
WB Positive control: |
Human skin tissue and Human fetal brain tissue lysates |
|
WB Recommended dilution: |
200-1000 |



購(gòu)物車
幫助
021-54845833/15800441009
