中文名稱:兔抗ASH2L多克隆抗體
|
Background: |
Component of the Set1/Ash2 histone methyltransferase (HMT) complex, a complex that specifically methylates 'Lys-4' of histone H3, but not if the neighboring 'Lys-9' residue is already methylated. As part of the MLL1/MLL complex it is involved in methylation and dimethylation at 'Lys-4' of histone H3. May function as a transcriptional regulator. May play a role in hematopoiesis. |
|
Applications: |
ELISA, IHC |
|
Name of antibody: |
ASH2L |
|
Immunogen: |
Fusion protein of human ASH2L |
|
Full name: |
ASH2 like, histone lysine methyltransferase complex subunit |
|
Synonyms: |
ASH2; Bre2; ASH2L1; ASH2L2 |
|
SwissProt: |
Q9UBL3 |
|
ELISA Recommended dilution: |
1000-5000 |
|
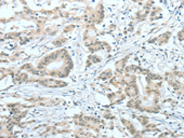
IHC positive control: |
Human colon cancer and Human thyroid cancer |
|
IHC Recommend dilution: |
50-200 |
購物車
幫助
021-54845833/15800441009
