|
Background: |
ERP27 is a noncatalytic member of the protein disulfide isomerase (PDI; see MIM 608012) family of endoplasmic reticulum (ER) proteins (Alanen et al., 2006 [PubMed 16940051]). |
|
Applications: |
ELISA, IHC |
|
Name of antibody: |
ERP27 |
|
Immunogen: |
Fusion protein of human ERP27 |
|
Full name: |
endoplasmic reticulum protein 27 |
|
Synonyms: |
PDIA8; C12orf46 |
|
SwissProt: |
Q96DN0 |
|
ELISA Recommended dilution: |
5000-10000 |
|
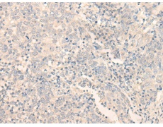
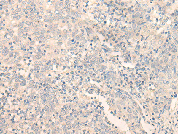
IHC positive control: |
Human cervical cancer |
|
IHC Recommend dilution: |
40-200 |
購(gòu)物車
幫助
021-54845833/15800441009
