中文名稱(chēng):兔抗CNNM2多克隆抗體
|
Background: |
This gene encodes a member of the ancient conserved domain containing protein family. Members of this protein family contain a cyclin box motif and have structural similarity to the cyclins. The encoded protein may play an important role in magnesium homeostasis by mediating the epithelial transport and renal reabsorption of Mg2+. Mutations in this gene are associated with renal hypomagnesemia. Alternatively spliced transcript variants encoding multiple isoforms have been observed for this gene |
|
Applications: |
WB |
|
Name of antibody: |
CNNM2 |
|
Immunogen: |
Synthesized peptide derived from internal of human CNNM2. |
|
Full name: |
cyclin and CBS domain divalent metal cation transport mediator 2 |
|
Synonyms: |
ACDP2 |
|
SwissProt: |
Q9H8M5 |
|
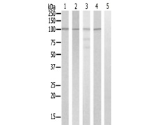
WB Predicted band size: |
97 kDa |
|
WB Positive control: |
Hela cells, K562 cells, Jurkat cells and A549 cells lysates |
|
WB Recommended dilution: |
500-3000 |
購(gòu)物車(chē)
幫助
021-54845833/15800441009
