中文名稱:兔抗ZNF274多克隆抗體
|
Background: |
This gene encodes a zinc finger protein containing five C2H2-type zinc finger domains, one or two Kruppel-associated box A (KRAB A) domains, and a leucine-rich domain. The encoded protein has been suggested to be a transcriptional repressor. It localizes predominantly to the nucleolus. Alternatively spliced transcript variants encoding different isoforms exist. These variants utilize alternative polyadenylation signals. |
|
Applications: |
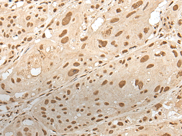
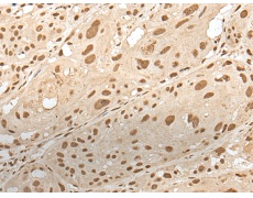
ELISA, IHC |
|
Name of antibody: |
ZNF274 |
|
Immunogen: |
Fusion protein of human ZNF274 |
|
Full name: |
zinc finger protein 274 |
|
Synonyms: |
ZF2; HFB101; ZSCAN51; ZKSCAN19 |
|
SwissProt: |
Q96GC6 |
|
ELISA Recommended dilution: |
5000-10000 |
|
IHC positive control: |
Human esophagus cancer and human tonsil |
|
IHC Recommend dilution: |
30-150 |

購物車
幫助
021-54845833/15800441009
