中文名稱:兔抗AHR(Phospho-Ser36)多克隆抗體
|
Background: |
This gene encodes a ligand-activated transcription factor involved in the regulation of biological responses to planar aromatic hydrocarbons. This receptor has been shown to regulate xenobiotic-metabolizing enzymes such as cytochrome P450. Its ligands included a variety of aromatic hydrocarbons. |
|
Applications: |
WB |
|
Name of antibody: |
AHR(Phospho-Ser36) |
|
Immunogen: |
Peptide sequence around phosphorylation site of Serine 36 (N-P-S(p)-K-R) derived from Human AhR. |
|
Full name: |
aryl hydrocarbon receptor |
|
Synonyms: |
bHLHe76 |
|
SwissProt: |
P35869 |
|
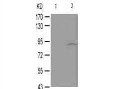
WB Predicted band size: |
96 kDa |
|
WB Positive control: |
HepG2 cells lysates |
|
WB Recommended dilution: |
500-1000 |

購物車
幫助
021-54845833/15800441009
