中文名稱:小鼠抗CDH1單克隆抗體
|
Background: |
This gene encodes a classical cadherin of the cadherin superfamily. Alternative splicing results in multiple transcript variants, at least one of which encodes a preproprotein that is proteolytically processed to generate the mature glycoprotein. This calcium-dependent cell-cell adhesion protein is comprised of five extracellular cadherin repeats, a transmembrane region and a highly conserved cytoplasmic tail. Mutations in this gene are correlated with gastric, breast, colorectal, thyroid and ovarian cancer. Loss of function of this gene is thought to contribute to cancer progression by increasing proliferation, invasion, and/or metastasis. The ectodomain of this protein mediates bacterial adhesion to mammalian cells and the cytoplasmic domain is required for internalization. This gene is present in a gene cluster with other members of the cadherin family on chromosome 16. |
|
Applications: |
WB |
|
Name of antibody: |
CDH1 |
|
Immunogen: |
Fusion protein of human CDH1 |
|
Full name: |
cadherin 1 |
|
Synonyms: |
UVO; CDHE; ECAD; LCAM; Arc-1; CD324 |
|
SwissProt: |
P12830 |
|
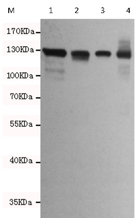
WB Predicted band size: |
97 kDa |
|
WB Positive control: |
T47D, HCT116, MDA-MB-468 and Caco-2 cell lysates |
|
WB Recommended dilution: |
1000-5000 |
購物車
幫助
021-54845833/15800441009
