|
Background: |
This gene encodes a protein that is a multi-ligand type-1 receptor with similarity to the yeast carboxypeptidase Y sorting receptor Vps10 protein. The encoded protein, a trans-Golgi network (TGN) transmembrane protein, binds a number of unrelated ligands that participate in a wide range of cellular processes; however, it lacks the typical features of a signalling receptor. In the TGN, furin mediates the activation of the mature binding form. |
|
Applications: |
ELISA, IHC |
|
Name of antibody: |
SORT1 |
|
Immunogen: |
Synthetic peptide of human SORT1 |
|
Full name: |
sortilin 1 |
|
Synonyms: |
NT3; Gp95; LDLCQ6 |
|
SwissProt: |
Q99523 |
|
ELISA Recommended dilution: |
2000-5000 |
|
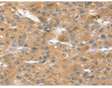
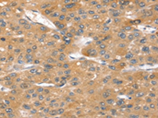
IHC positive control: |
Human liver cancer and Human breast cancer |
|
IHC Recommend dilution: |
40-150 |
購物車
幫助
021-54845833/15800441009
