中文名稱:兔抗ATXN1(Phospho-Ser776) 多克隆抗體
|
Background: |
The autosomal dominant cerebellar ataxias (ADCA) are a heterogeneous group of neurodegenerative disorders characterized by progressive degeneration of the cerebellum, brain stem and spinal cord. Clinically, ADCA has been divided into three groups: ADCA types I-III. ADCAI is genetically heterogeneous, with five genetic loci, designated spinocerebellar ataxia (SCA) 1, 2, 3, 4 and 6, being assigned to five different chromosomes. |
|
Applications: |
WB |
|
Name of antibody: |
ATXN1(Phospho-Ser776) |
|
Immunogen: |
Peptide sequence around phosphorylation site of Serine 776 (R-W-S(p)-A-P) derived from Human Ataxin 1. |
|
Full name: |
ataxin 1 |
|
Synonyms: |
ATX1; SCA1; D6S504E |
|
SwissProt: |
P54253 |
|
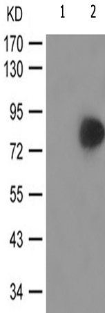
WB Predicted band size: |
87 kDa |
|
WB Positive control: |
HepG2 cells lysates |
|
WB Recommended dilution: |
500-1000 |

購物車
幫助
021-54845833/15800441009
