中文名稱:兔抗ZNF672多克隆抗體
|
Background: |
May be involved in transcriptional regulation. |
|
Applications: |
ELISA, WB, IHC |
|
Name of antibody: |
ZNF672 |
|
Immunogen: |
Fusion protein of human ZNF672 |
|
Full name: |
zinc finger protein 672 |
|
SwissProt: |
Q499Z4 |
|
ELISA Recommended dilution: |
5000-10000 |
|
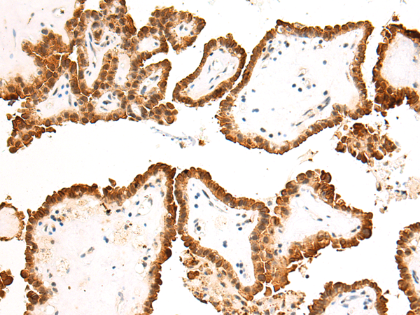
IHC positive control: |
Human thyroid cancer |
|
IHC Recommend dilution: |
100-300 |
|
WB Predicted band size: |
50 kDa |
|
WB Positive control: |
SKOV3 cell lysate |
|
WB Recommended dilution: |
500-2000 |

購(gòu)物車
幫助
021-54845833/15800441009
