中文名稱:兔抗XRCC1多克隆抗體
|
Background: |
The protein encoded by this gene is involved in the efficient repair of DNA single-strand breaks formed by exposure to ionizing radiation and alkylating agents. This protein interacts with DNA ligase III, polymerase beta and poly (ADP-ribose) polymerase to participate in the base excision repair pathway. It may play a role in DNA processing during meiogenesis and recombination in germ cells. A rare microsatellite polymorphism in this gene is associated with cancer in patients of varying radiosensitivity. |
|
Applications: |
ELISA, IHC |
|
Name of antibody: |
XRCC1 |
|
Immunogen: |
Synthetic peptide of human XRCC1 |
|
Full name: |
X-ray repair cross complementing 1 |
|
Synonyms: |
RCC; SCAR26 |
|
SwissProt: |
P18887 |
|
ELISA Recommended dilution: |
5000-10000 |
|
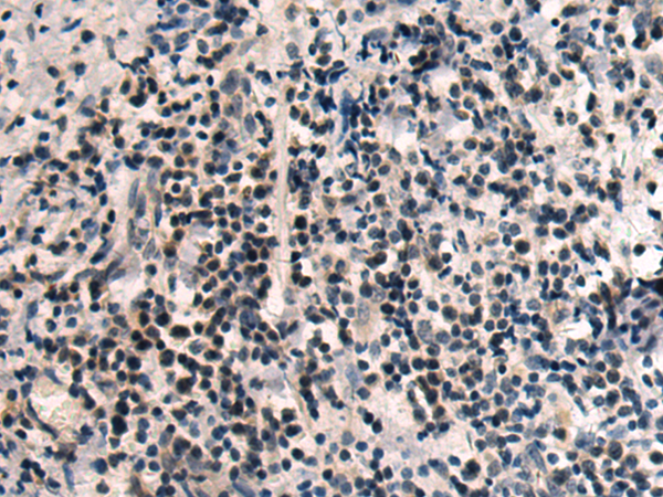
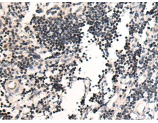
IHC positive control: |
Human tonsil and Human cervical cancer |
|
IHC Recommend dilution: |
25-50 |

購物車
幫助
021-54845833/15800441009
