中文名稱: 兔抗ZNF19多克隆抗體
|
Background: |
The protein encoded by this gene contains a zinc finger, a nucleic acid-binding domain present in many transcription factors. This gene is located in a region next to ZNF23, a gene also encoding a zinc finger protein, on chromosome 16. |
|
Applications: |
ELISA, IHC |
|
Name of antibody: |
ZNF19 |
|
Immunogen: |
Fusion protein of human ZNF19 |
|
Full name: |
zinc finger protein 19 |
|
Synonyms: |
KOX12 |
|
SwissProt: |
P17023 |
|
ELISA Recommended dilution: |
500-1000 |
|
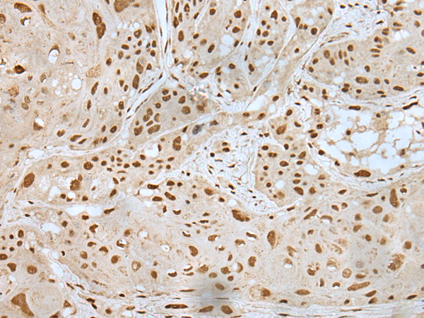
IHC positive control: |
Human esophagus cancer and human liver cancer |
|
IHC Recommend dilution: |
25-100 |

購物車
幫助
021-54845833/15800441009
