中文名稱:兔抗BVES多克隆抗體
|
Background: |
This gene encodes a member of the POP family of proteins containing three putative transmembrane domains. This gene is expressed in cardiac and skeletal muscle and may play an important role in development of these tissues. The mouse ortholog may be involved in the regeneration of adult skeletal muscle and may act as a cell adhesion molecule in coronary vasculogenesis. Three transcript variants encoding the same protein have been found for this gene. |
|
Applications: |
WB, IHC |
|
Name of antibody: |
BVES |
|
Immunogen: |
Fusion protein of human BVES |
|
Full name: |
blood vessel epicardial substance |
|
Synonyms: |
BVES; Popeye protein 1; POPDC1; POP1; HBVES |
|
SwissProt: |
Q8NE79 |
|
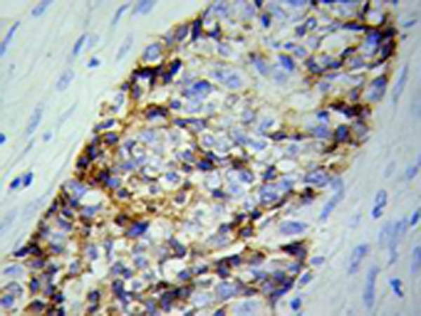
IHC positive control: |
Human ovarian cancer |
|
IHC Recommend dilution: |
50-200 |
|
WB Predicted band size: |
41 kDa |
|
WB Positive control: |
Skeletal muscle tissue |
|
WB Recommended dilution: |
500-2000 |


購物車
幫助
021-54845833/15800441009
