中文名稱(chēng):兔抗ATG7多克隆抗體
|
Background: |
This gene encodes an E1-like activating enzyme that is essential for autophagy and cytoplasmic to vacuole transport. The encoded protein is also thought to modulate p53-dependent cell cycle pathways during prolonged metabolic stress. It has been associated with multiple functions, including axon membrane trafficking, axonal homeostasis, mitophagy, adipose differentiation, and hematopoietic stem cell maintenance. Alternative splicing results in multiple transcript variants. |
|
Applications: |
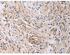
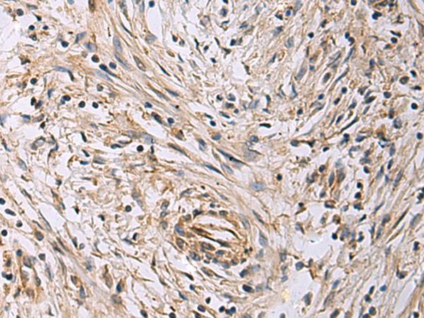
ELISA, IHC |
|
Name of antibody: |
ATG7 |
|
Immunogen: |
Synthetic peptide of human ATG7 |
|
Full name: |
autophagy related 7 |
|
Synonyms: |
GSA7; APG7L; APG7-LIKE |
|
SwissProt: |
O95352 |
|
ELISA Recommended dilution: |
5000-10000 |
|
IHC positive control: |
Human colorectal cancer and Human tonsil |
|
IHC Recommend dilution: |
25-50 |
購(gòu)物車(chē)
幫助
021-54845833/15800441009
