中文名稱:兔抗BLVRA多克隆抗體
|
Background: |
The protein encoded by this gene belongs to the biliverdin reductase family, members of which catalyze the conversion of biliverdin to bilirubin in the presence of NADPH or NADH. Mutations in this gene are associated with hyperbiliverdinemia. Alternatively spliced transcript variants have been found for this gene. |
|
Applications: |
ELISA, IHC |
|
Name of antibody: |
BLVRA |
|
Immunogen: |
Full length fusion protein |
|
Full name: |
biliverdin reductase A |
|
Synonyms: |
BVR; BLVR; BVRA |
|
SwissProt: |
P53004 |
|
ELISA Recommended dilution: |
5000-10000 |
|
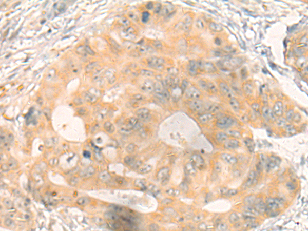
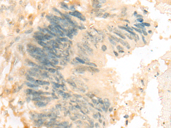
IHC positive control: |
Human gastric cancer and Human colorectal cancer |
|
IHC Recommend dilution: |
20-100 |
購物車
幫助
021-54845833/15800441009
