|
Background: |
Follistatin-like 5 (FSTL5), a member of the follistatin family of genes, encodes a secretory glycoprotein. Previous study revealed that it might play a suppressive role in hepatocellular carcinoma (HCC). However, its clinical significances, biological functions and molecular mechanisms in HCC development are poorly understood. |
|
Applications: |
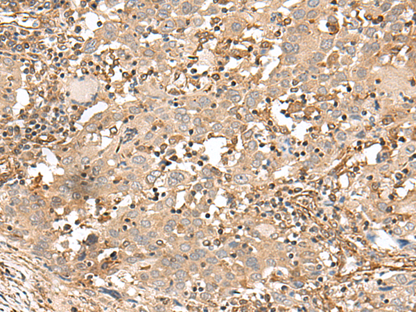
ELISA, IHC |
|
Name of antibody: |
FSTL5 |
|
Immunogen: |
Synthetic peptide of human FSTL5 |
|
Full name: |
follistatin like 5 |
|
SwissProt: |
Q8N475 |
|
ELISA Recommended dilution: |
5000-10000 |
|
IHC positive control: |
Human cervical cancer |
|
IHC Recommend dilution: |
50-300 |

購物車
幫助
021-54845833/15800441009
