中文名稱(chēng):兔抗BAG5多克隆抗體
|
Background: |
The protein encoded by this gene is a member of the BAG1-related protein family. BAG1 is an anti-apoptotic protein that functions through interactions with a variety of cell apoptosis and growth related proteins including BCL-2, Raf-protein kinase, steroid hormone receptors, growth factor receptors and members of the heat shock protein 70 kDa family. This protein contains a BAG domain near the C-terminus, which could bind and inhibit the chaperone activity of Hsc70/Hsp70. Three transcript variants encoding two different isoforms have been found for this gene. |
|
Applications: |
ELISA, WB |
|
Name of antibody: |
BAG5 |
|
Immunogen: |
Fusion protein of human BAG5 |
|
Full name: |
Bcl-2-associated athanogene 5 |
|
SwissProt: |
Q9UL15 |
|
ELISA Recommended dilution: |
500-5000 |
|
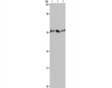
WB Predicted band size: |
51 kDa |
|
WB Positive control: |
A549, Hela and 293T cells |
|
WB Recommended dilution: |
500-2000 |

購(gòu)物車(chē)
幫助
021-54845833/15800441009
