|
Background: |
TMPRSS11B (transmembrane protease serine 11B), also known as airway trypsin-like protease 5, is a 416 amino acid single-pass type II membrane protein that belongs to the peptidase S1 family and contains one peptidase S1 domain and one SEA domain. The gene that encodes TMPRSS11B consists of over 19,000 bases and maps to human chromosome 4q13.2. Chromosome 4 represents approximately 6% of the human genome and contains nearly 900 genes. Notably, the Huntingtin gene, which is found to encode an expanded glutamine tract in cases of Huntington's disease, is encoded by a gene that maps to chromosome 4. FGFR-3 is also encoded by a gene located on chromosome 4 and has been associated with thanatophoric dwarfism, achondroplasia, Muenke syndrome and bladder cancer. Chromosome 4 is also tied to Ellis-van Creveld syndrome, methylmalonic acidemia and polycystic kidney disease. |
|
Applications: |
ELISA, IHC |
|
Name of antibody: |
TMPRSS11B |
|
Immunogen: |
Fusion protein of human TMPRSS11B |
|
Full name: |
transmembrane protease, serine 11B |
|
SwissProt: |
Q86T26 |
|
ELISA Recommended dilution: |
1000-2000 |
|
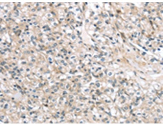
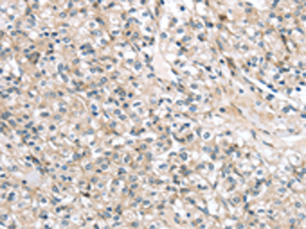
IHC positive control: |
Human prostate cancer |
|
IHC Recommend dilution: |
10-50 |
購物車
幫助
021-54845833/15800441009
