|
Background: |
Probable serine protease which may play a role in cellular senescence. Overexpression inhibits cell growth and induce G1 cell cycle arrest. |
|
Applications: |
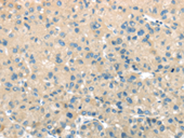
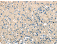
ELISA, IHC |
|
Name of antibody: |
TMPRSS11A |
|
Immunogen: |
Fusion protein of human TMPRSS11A |
|
Full name: |
transmembrane protease, serine 11A |
|
Synonyms: |
ECRG1 |
|
SwissProt: |
Q6ZMR5 |
|
ELISA Recommended dilution: |
2000-5000 |
|
IHC positive control: |
Human liver cancer and human esophagus cancer |
|
IHC Recommend dilution: |
25-100 |
購物車
幫助
021-54845833/15800441009
