|
Background: |
THAP6 (THAP domain-containing protein 6) is a 222 amino acid protein that contains one THAP-type zinc finger and exists as two alternatively spliced isoforms. The gene that encodes THAP6 consists of approximately 36,528 bases and maps to human chromosome 4q21.1. Chromosome 4 represents approximately 6% of the human genome and contains nearly 900 genes. Notably, the Huntingtin gene, which is found to encode an expanded glutamine tract in cases of Huntington's disease, is encoded by a gene that maps to chromosome 4. FGFR-3 is also encoded by a gene located on chromosome 4 and has been associated with thanatophoric dwarfism, achondroplasia, Muenke syndrome and bladder cancer. Chromosome 4 is also tied to Ellis-van Creveld syndrome, methylmalonic acidemia and polycystic kidney disease. |
|
Applications: |
ELISA, IHC |
|
Name of antibody: |
THAP6 |
|
Immunogen: |
Full length fusion protein |
|
Full name: |
THAP domain containing 6 |
|
SwissProt: |
Q8TBB0 |
|
ELISA Recommended dilution: |
2000-5000 |
|
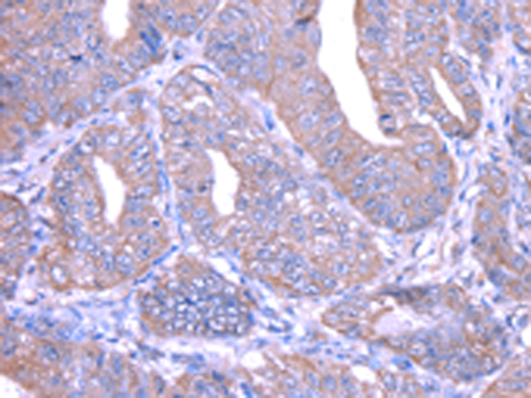
IHC positive control: |
Human esophagus cancer |
|
IHC Recommend dilution: |
25-100 |
購物車
幫助
021-54845833/15800441009
