|
Background: |
Transaldolase 1 is a key enzyme of the nonoxidative pentose phosphate pathway providing ribose-5-phosphate for nucleic acid synthesis and NADPH for lipid biosynthesis. This pathway can also maintain glutathione at a reduced state and thus protect sulfhydryl groups and cellular integrity from oxygen radicals. The functional gene of transaldolase 1 is located on chromosome 11 and a pseudogene is identified on chromosome 1 but there are conflicting map locations. The second and third exon of this gene were developed by insertion of a retrotransposable element. This gene is thought to be involved in multiple sclerosis. |
|
Applications: |
ELISA, WB, IHC |
|
Name of antibody: |
TALDO1 |
|
Immunogen: |
Fusion protein of human TALDO1 |
|
Full name: |
transaldolase 1 |
|
Synonyms: |
TAL; TALH; TAL-H; TALDOR |
|
SwissProt: |
P37837 |
|
ELISA Recommended dilution: |
2000-5000 |
|
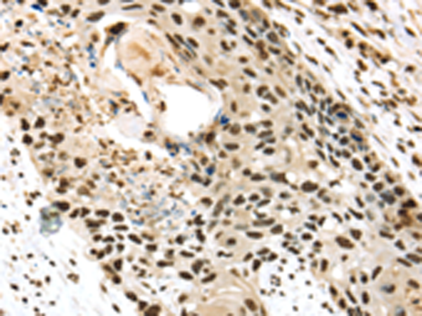
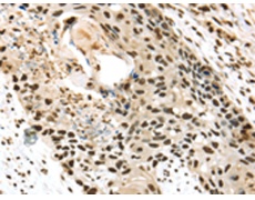
IHC positive control: |
Human esophagus cancer |
|
IHC Recommend dilution: |
25-100 |
|
WB Predicted band size: |
38 kDa |
|
WB Positive control: |
Human fetal brain and placenta tissue, Mouse brain tissue |
|
WB Recommended dilution: |
500-2000 |

購(gòu)物車
幫助
021-54845833/15800441009
