|
Background: |
This gene encodes a member of a family of fatty acid transport proteins, which are involved in translocation of long-chain fatty acids cross the plasma membrane. This protein is expressed at high levels on the apical side of mature enterocytes in the small intestine, and appears to be the principal fatty acid transporter in enterocytes. Clinical studies suggest this gene as a candidate gene for the insulin resistance syndrome. Mutations in this gene have been associated with ichthyosis prematurity syndrome. |
|
Applications: |
ELISA, WB, IHC |
|
Name of antibody: |
SLC27A4 |
|
Immunogen: |
Fusion protein of human SLC27A4 |
|
Full name: |
solute carrier family 27 (fatty acid transporter), member 4 |
|
Synonyms: |
IPS; FATP4; ACSVL4 |
|
SwissProt: |
Q6P1M0 |
|
ELISA Recommended dilution: |
5000-10000 |
|
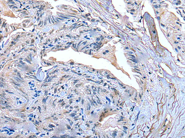
IHC positive control: |
Human brain and human esophagus cancer |
|
IHC Recommend dilution: |
25-100 |
|
WB Predicted band size: |
72 kDa |
|
WB Positive control: |
PC-3,Hela,293T and HEPG2 cell lysates |
|
WB Recommended dilution: |
200-1000 |

購物車
幫助
021-54845833/15800441009
