|
Background: |
Staufen homolog 2 is a member of the family of double-stranded RNA (dsRNA)-binding proteins involved in the transport and/or localization of mRNAs to different subcellular compartments and/or organelles. These proteins are characterized by the presence of multiple dsRNA-binding domains which are required to bind RNAs having double-stranded secondary structures. Staufen homolog 2 shares 48.5% and 59.9% similarity with drosophila and human staufen, respectively. The exact function of Staufen homolog 2 is not known, but since it contains 3 copies of conserved dsRNA binding domain, it could be involved in double-stranded RNA binding events. Several transcript variants encoding different isoforms have been found for this gene. |
|
Applications: |
ELISA, IHC |
|
Name of antibody: |
STAU2 |
|
Immunogen: |
Fusion protein of human STAU2 |
|
Full name: |
staufen double-stranded RNA binding protein 2 |
|
Synonyms: |
39K2; 39K3 |
|
SwissProt: |
Q9NUL3 |
|
ELISA Recommended dilution: |
5000-10000 |
|
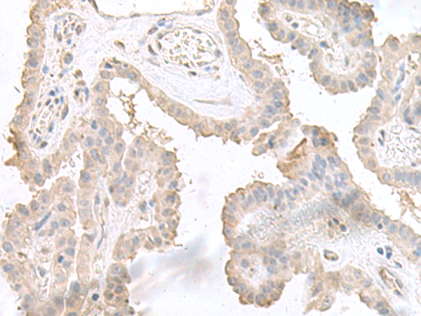
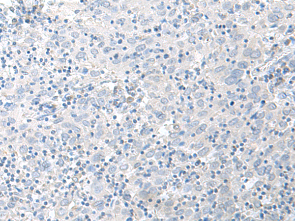
IHC positive control: |
Human cervical cancer and Human thyroid cancer |
|
IHC Recommend dilution: |
40-200 |

購(gòu)物車(chē)
幫助
021-54845833/15800441009
