中文名稱:兔抗ACTL7B多克隆抗體
|
Background: |
The protein encoded by this gene is a member of a family of actin-related proteins (ARPs) which share significant amino acid sequence identity to conventional actins. Both actins and ARPs have an actin fold, which is an ATP-binding cleft, as a common feature. The ARPs are involved in diverse cellular processes, including vesicular transport, spindle orientation, nuclear migration and chromatin remodeling. This gene (ACTL7B), and related gene, ACTL7A, are intronless, and are located approximately 4 kb apart in a head-to-head orientation within the familial dysautonomia candidate region on 9q31. Based on mutational analysis of the ACTL7B gene in patients with this disorder, it was concluded that it is unlikely to be involved in the pathogenesis of dysautonomia. |
|
Applications: |
ELISA, IHC |
|
Name of antibody: |
ACTL7B |
|
Immunogen: |
Fusion protein of human ACTL7B |
|
Full name: |
actin-like 7B |
|
Synonyms: |
Tact1 |
|
SwissProt: |
Q9Y614 |
|
ELISA Recommended dilution: |
1000-2000 |
|
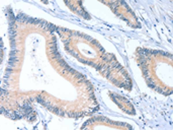
IHC positive control: |
Human colon cancer |
|
IHC Recommend dilution: |
15-50 |
購物車
幫助
021-54845833/15800441009
