|
Background: |
Involved in accumulation of zinc in synaptic vesicles. |
|
Applications: |
ELISA, WB, IHC |
|
Name of antibody: |
SLC30A3 |
|
Immunogen: |
Fusion protein of human SLC30A3 |
|
Full name: |
solute carrier family 30 member 3 |
|
Synonyms: |
ZNT3 |
|
SwissProt: |
Q99726 |
|
ELISA Recommended dilution: |
5000-10000 |
|
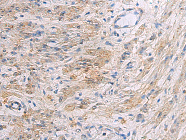
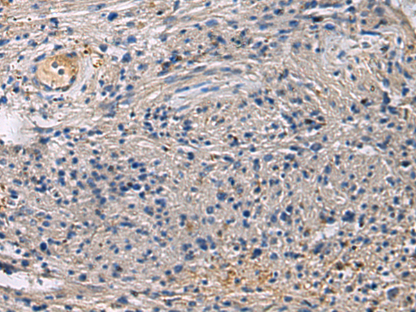
IHC positive control: |
Human brain and Human gastric cancer |
|
IHC Recommend dilution: |
50-100 |
|
WB Predicted band size: |
42 kDa |
|
WB Positive control: |
K562, Jurkat and 293T cell lysates |
|
WB Recommended dilution: |
500-2000 |


購物車
幫助
021-54845833/15800441009
