中文名稱: 兔抗IL6ST多克隆抗體
|
Background: |
The protein encoded by this gene is a signal transducer shared by many cytokines, including interleukin 6 (IL6), ciliary neurotrophic factor (CNTF), leukemia inhibitory factor (LIF), and oncostatin M (OSM). This protein functions as a part of the cytokine receptor complex. The activation of this protein is dependent upon the binding of cytokines to their receptors. vIL6, a protein related to IL6 and encoded by the Kaposi sarcoma-associated herpesvirus, can bypass the interleukin 6 receptor (IL6R) and directly activate this protein. Knockout studies in mice suggest that this gene plays a critical role in regulating myocyte apoptosis. Alternatively spliced transcript variants have been described. A related pseudogene has been identified on chromosome 17. |
|
Applications: |
ELISA, IHC |
|
Name of antibody: |
IL6ST |
|
Immunogen: |
Fusion protein of human IL6ST |
|
Full name: |
interleukin 6 signal transducer |
|
Synonyms: |
CD130; GP130; CDW130; IL-6RB |
|
SwissProt: |
P40189 |
|
ELISA Recommended dilution: |
5000-10000 |
|
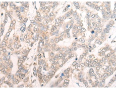
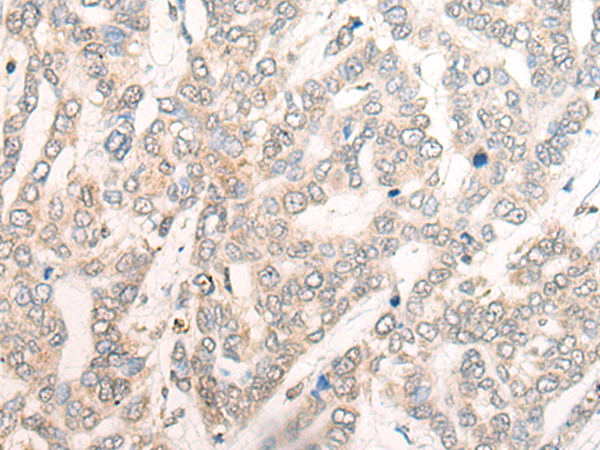
IHC positive control: |
Human esophagus cancer |
|
IHC Recommend dilution: |
30-150 |
購物車
幫助
021-54845833/15800441009
