中文名稱(chēng):兔抗MAGEA11多克隆抗體
|
Background: |
This gene is a member of the MAGEA gene family. The members of this family encode proteins with 50 to 80% sequence identity to each other. The promoters and first exons of the MAGEA genes show considerable variability, suggesting that the existence of this gene family enables the same function to be expressed under different transcriptional controls. The MAGEA genes are clustered at chromosomal location Xq28. They have been implicated in some hereditary disorders, such as dyskeratosis congenita. Two transcript variants encoding different isoforms have been found for this gene. |
|
Applications: |
ELISA, WB, IHC |
|
Name of antibody: |
MAGEA11 |
|
Immunogen: |
Fusion protein of human MAGEA11 |
|
Full name: |
MAGE family member A11 |
|
Synonyms: |
CT1.11; MAGE11; MAGE-11; MAGEA-11 |
|
SwissProt: |
P43364 |
|
ELISA Recommended dilution: |
2000-5000 |
|
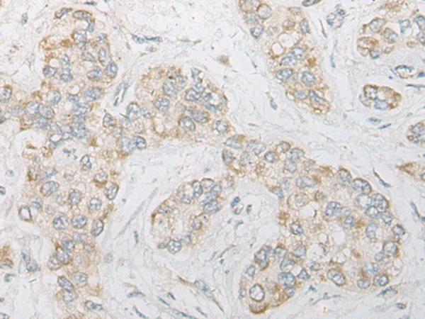
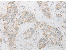
IHC positive control: |
Human liver cancer |
|
IHC Recommend dilution: |
20-100 |
|
WB Predicted band size: |
48 kDa |
|
WB Positive control: |
K562,293T and A549 cell lysates |
|
WB Recommended dilution: |
200-1000 |

購(gòu)物車(chē)
幫助
021-54845833/15800441009
