|
Background: |
The Drosophila embryonic protein snail is a zinc finger transcriptional repressor which downregulates the expression of ectodermal genes within the mesoderm. The nuclear protein encoded by this gene is structurally similar to the Drosophila snail protein, and is also thought to be critical for mesoderm formation in the developing embryo. At least two variants of a similar processed pseudogene have been found on chromosome 2. |
|
Applications: |
ELISA, WB, IHC |
|
Name of antibody: |
SNAI1 |
|
Immunogen: |
Fusion protein of human SNAI1 |
|
Full name: |
snail family transcriptional repressor 1 |
|
Synonyms: |
SNA; SNAH; SNAIL; SLUGH2; SNAIL1; dJ710H13.1 |
|
SwissProt: |
O95863 |
|
ELISA Recommended dilution: |
5000-10000 |
|
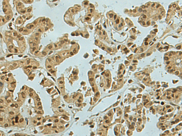
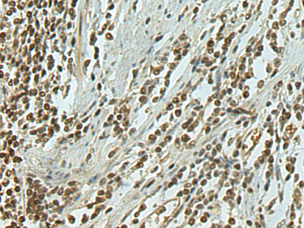
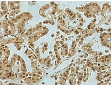
IHC positive control: |
Human gastric cancer and Human thyroid cancer |
|
IHC Recommend dilution: |
100-300 |
|
WB Predicted band size: |
29 kDa |
|
WB Positive control: |
MCF-7 cell lysate |
|
WB Recommended dilution: |
200-1000 |


購(gòu)物車(chē)
幫助
021-54845833/15800441009
