|
Background: |
The protein encoded by this gene is a member of a family that regulates the activity of G protein-coupled receptors (GPCRs). The encoded protein has been shown to be capable of interacting with several GPCRs, including the M1 muscarinic acetylcholine receptor and the calcitonin receptor. Several transcript variants encoding the same protein have been found for this gene. |
|
Applications: |
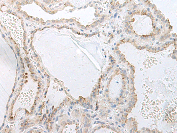
ELISA, IHC |
|
Name of antibody: |
GPRASP2 |
|
Immunogen: |
Fusion protein of human GPRASP2 |
|
Full name: |
G protein-coupled receptor associated sorting protein 2 |
|
Synonyms: |
GASP2 |
|
SwissProt: |
Q96D09 |
|
ELISA Recommended dilution: |
5000-10000 |
|
IHC positive control: |
Human colorectal cancer and Human thyroid cancer |
|
IHC Recommend dilution: |
50-300 |

購物車
幫助
021-54845833/15800441009
