中文名稱:兔抗BIRC3多克隆抗體
|
Background: |
This gene encodes a member of the IAP family of proteins that inhibit apoptosis by binding to tumor necrosis factor receptor-associated factors TRAF1 and TRAF2, probably by interfering with activation of ICE-like proteases. The encoded protein inhibits apoptosis induced by serum deprivation but does not affect apoptosis resulting from exposure to menadione, a potent inducer of free radicals. It contains 3 baculovirus IAP repeats and a ring finger domain. Transcript variants encoding the same isoform have been identified. |
|
Applications: |
ELISA, IHC |
|
Name of antibody: |
BIRC3 |
|
Immunogen: |
Fusion protein of human BIRC3 |
|
Full name: |
baculoviral IAP repeat containing 3 |
|
Synonyms: |
AIP1; API2; MIHC; CIAP2; HAIP1; HIAP1; IAP-1; MALT2; RNF49; c-IAP2 |
|
SwissProt: |
Q13489 |
|
ELISA Recommended dilution: |
5000-10000 |
|
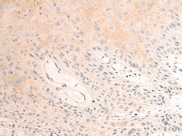
IHC positive control: |
Human esophagus cancer and Human tonsil |
|
IHC Recommend dilution: |
100-200 |



購物車
幫助
021-54845833/15800441009
