中文名稱: 兔抗EWSR1多克隆抗體
|
Background: |
This gene encodes a multifunctional protein that is involved in various cellular processes, including gene expression, cell signaling, and RNA processing and transport. The protein includes an N-terminal transcriptional activation domain and a C-terminal RNA-binding domain. Chromosomal translocations between this gene and various genes encoding transcription factors result in the production of chimeric proteins that are involved in tumorigenesis. These chimeric proteins usually consist of the N-terminal transcriptional activation domain of this protein fused to the C-terminal DNA-binding domain of the transcription factor protein. Mutations in this gene, specifically a t(11;22)(q24;q12) translocation, are known to cause Ewing sarcoma as well as neuroectodermal and various other tumors. Alternative splicing of this gene results in multiple transcript variants. Related pseudogenes have been identified on chromosomes 1 and 14. |
|
Applications: |
ELISA, WB, IHC |
|
Name of antibody: |
EWSR1 |
|
Immunogen: |
Fusion protein of human EWSR1 |
|
Full name: |
EWS RNA binding protein 1 |
|
Synonyms: |
EWS; EWS-FLI1; bK984G1.4 |
|
SwissProt: |
Q01844 |
|
ELISA Recommended dilution: |
5000-10000 |
|
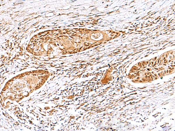
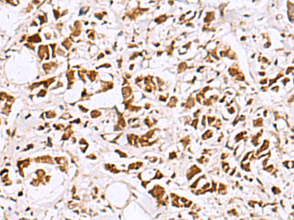
IHC positive control: |
Human breast cancer and Human esophagus cancer |
|
IHC Recommend dilution: |
50-300 |
|
WB Predicted band size: |
68 kDa |
|
WB Positive control: |
K562 and HepG2 cell lysates |
|
WB Recommended dilution: |
1000-5000 |


購(gòu)物車
幫助
021-54845833/15800441009
