|
Background: |
The protein encoded by this gene is essential for neuromuscular synaptogenesis. The protein functions in aneural activation of muscle-specific receptor kinase, which is required for postsynaptic differentiation, and in the subsequent clustering of the acetylcholine receptor in myotubes. This protein can also induce autophosphorylation of muscle-specific receptor kinase. Mutations in this gene are a cause of familial limb-girdle myasthenia autosomal recessive, which is also known as congenital myasthenic syndrome type 1B. Alternative splicing results in multiple transcript variants. |
|
Applications: |
ELISA, IHC |
|
Name of antibody: |
DOK7 |
|
Immunogen: |
Synthetic peptide of human DOK7 |
|
Full name: |
docking protein 7 |
|
Synonyms: |
CMS10; CMS1B; C4orf25 |
|
SwissProt: |
Q18PE1 |
|
ELISA Recommended dilution: |
5000-10000 |
|
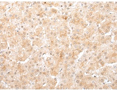
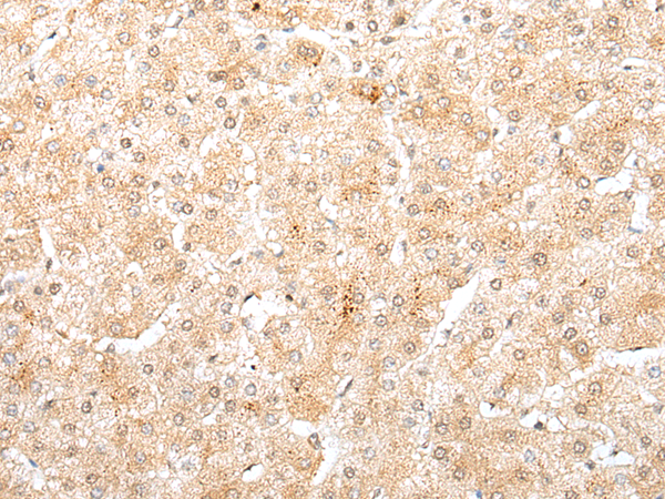
IHC positive control: |
Human liver cancer |
|
IHC Recommend dilution: |
25-100 |
購物車
幫助
021-54845833/15800441009
