|
Background: |
This gene is a homolog of the Drosophila delta gene. The delta gene family encodes Notch ligands that are characterized by a DSL domain, EGF repeats, and a transmembrane domain. |
|
Applications: |
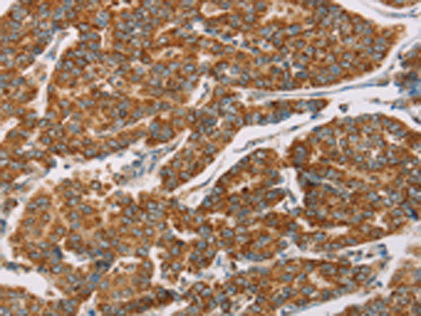
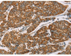
ELISA, IHC |
|
Name of antibody: |
DLL4 |
|
Immunogen: |
Fusion protein of human DLL4 |
|
Full name: |
delta like canonical Notch ligand 4 |
|
Synonyms: |
AOS6; delta4; hdelta2 |
|
SwissProt: |
Q9NR61 |
|
ELISA Recommended dilution: |
2000-5000 |
|
IHC positive control: |
Human breast cancer and Human thyroid cancer |
|
IHC Recommend dilution: |
50-200 |
購(gòu)物車(chē)
幫助
021-54845833/15800441009
