中文名稱:兔抗ZC3H7A多克隆抗體
|
Background: |
The zinc finger CCCH domain-containing protein 7A (ZC3H7A), also known as ZC3H7, HSPC055 or ZC3HDC7, is a 971 amino acid protein that contains a C3H1-type zinc finger domain, three C3H1-type zinc fingers and three TPR repeats. Belonging to the ZC3H12 family, ZC3H7A localizes to the nucleus. Existing as two alternatively spliced isoforms, ZC3H7A is encoded by a gene located on human chromosome 16p13.13. Chromosome 16 makes up nearly 3% of human cellular DNA and is associated with a variety of genetic disorders. The GAN gene is located on chromosome 16 and, with mutation, may lead to giant axonal neuropathy, a nervous system disorder characterized by increasing malfunction with growth. The rare disorder Rubinstein-Taybi syndrome is also associated with chromosome 16, though through the CREBBP gene which encodes a critical CREB binding protein. Signs of Rubinstein-Taybi include mental retardation and predisposition to tumor growth and white blood cell neoplasias. Crohn's disease is a gastrointestinal inflammatory condition associated with chromosome 16 through the NOD2 gene. |
|
Applications: |
ELISA, IHC |
|
Name of antibody: |
ZC3H7A |
|
Immunogen: |
Fusion protein of human ZC3H7A |
|
Full name: |
zinc finger CCCH-type containing 7A |
|
Synonyms: |
ZC3H7; HSPC055; ZC3HDC7 |
|
SwissProt: |
Q8IWR0 |
|
ELISA Recommended dilution: |
5000-10000 |
|
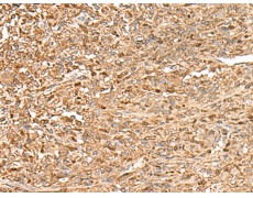
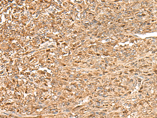
IHC positive control: |
Human liver cancer and Human cervical cancer |
|
IHC Recommend dilution: |
50-300 |

購物車
幫助
021-54845833/15800441009
