|
Background: |
The dickkopf protein family interacts with the Wnt signaling pathway and its members are characterized by two conserved cysteine-rich domains. This gene encodes a secreted protein that has low sequence similarity to the dickkopf-3 protein. Multiple alternatively spliced transcript variants encoding distinct isoforms have been found for this gene. |
|
Applications: |
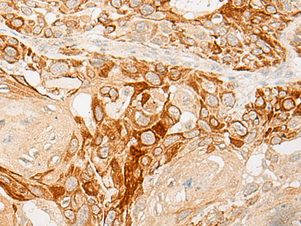
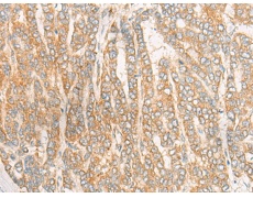
ELISA, IHC |
|
Name of antibody: |
DKKL1 |
|
Immunogen: |
Synthetic peptide corresponding to a region derived from 202-214 amino acids of human DKKL1 |
|
Full name: |
dickkopf like acrosomal protein 1 |
|
Synonyms: |
SGY; CT34; SGY1; SGY-1 |
|
SwissProt: |
Q9UK85 |
|
ELISA Recommended dilution: |
5000-10000 |
|
IHC Positive control: |
Human esophagus cancer;Human liver cancer |
|
IHC Recommended dilution: |
25-100 |


購物車
幫助
021-54845833/15800441009
