|
Background: |
This gene is a member of the tropomyosin family of highly conserved, widely distributed actin-binding proteins involved in the contractile system of striated and smooth muscles and the cytoskeleton of non-muscle cells. Tropomyosin is composed of two alpha-helical chains arranged as a coiled-coil. It is polymerized end to end along the two grooves of actin filaments and provides stability to the filaments. The encoded protein is one type of alpha helical chain that forms the predominant tropomyosin of striated muscle, where it also functions in association with the troponin complex to regulate the calcium-dependent interaction of actin and myosin during muscle contraction. In smooth muscle and non-muscle cells, alternatively spliced transcript variants encoding a range of isoforms have been described. Mutations in this gene are associated with type 3 familial hypertrophic cardiomyopathy. |
|
Applications: |
ELISA, WB, IHC |
|
Name of antibody: |
TPM1 |
|
Immunogen: |
Fusion protein of human TPM1 |
|
Full name: |
Tropomyosin 1 (alpha) |
|
Synonyms: |
CMH3; TMSA; CMD1Y; C15orf13; HTM-alpha |
|
SwissProt: |
P09493 |
|
ELISA Recommended dilution: |
2000-5000 |
|
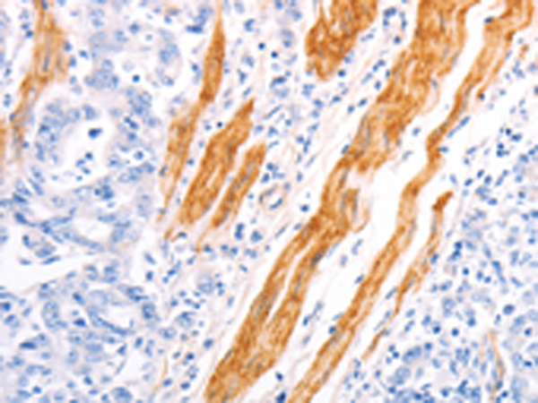
IHC positive control: |
Human gastric cancer and human breast cancer |
|
IHC Recommend dilution: |
50-200 |
|
WB Predicted band size: |
33 kDa |
|
WB Positive control: |
Mouse heart and muscle tissue |
|
WB Recommended dilution: |
500-2000 |

購物車
幫助
021-54845833/15800441009
