中文名稱:兔抗CLUAP1多克隆抗體
|
Background: |
The protein encoded by this gene contains a single coiled-coil region. Alternative splicing results in multiple transcript variants and protein isoforms. |
|
Applications: |
ELISA, IHC |
|
Name of antibody: |
CLUAP1 |
|
Immunogen: |
Fusion protein of human CLUAP1 |
|
Full name: |
clusterin associated protein 1 |
|
Synonyms: |
FAP22 |
|
SwissProt: |
Q96AJ1 |
|
ELISA Recommended dilution: |
2000-10000 |
|
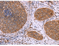
IHC positive control: |
Human cervical cancer and human tonsil |
|
IHC Recommend dilution: |
100-300 |
購物車
幫助
021-54845833/15800441009
