|
Background: |
This gene encodes a mature peptide that is an active cyclic heptapeptide absolutely conserved from lamprey to human. The active peptide acts as a vasoconstrictor and is expressed only in brain tissue. Despite the gene family name similarity, this gene is not homologous to urocortin, a member of the sauvagine/corticotropin-releasing factor/urotensin I family. Most of the proprotein is cleaved to make the mature peptide. Transcript variants encoding different preproprotein isoforms have been described for this gene. |
|
Applications: |
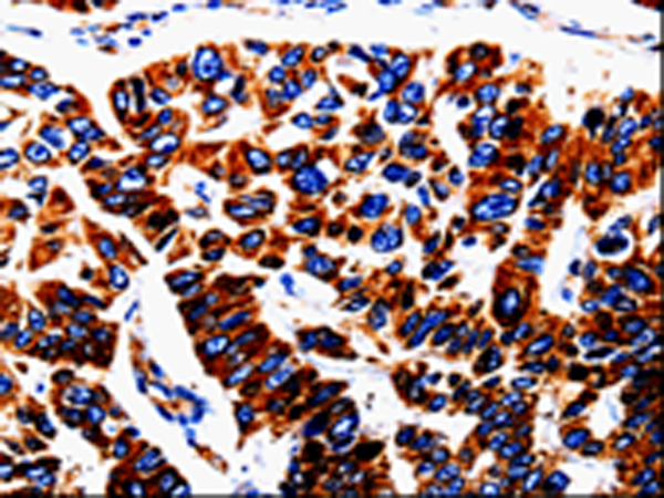
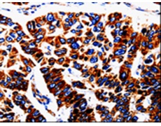
ELISA, IHC |
|
Name of antibody: |
UTS2 |
|
Immunogen: |
Fusion protein of human UTS2 |
|
Full name: |
Urotensin 2 |
|
Synonyms: |
UII, U-II, UCN2 |
|
SwissProt: |
O95399 |
|
ELISA Recommended dilution: |
500-5000 |
|
IHC positive control: |
Human lung cancer and human cervical cancer |
|
IHC Recommend dilution: |
50-200 |

購物車
幫助
021-54845833/15800441009
