|
Background: |
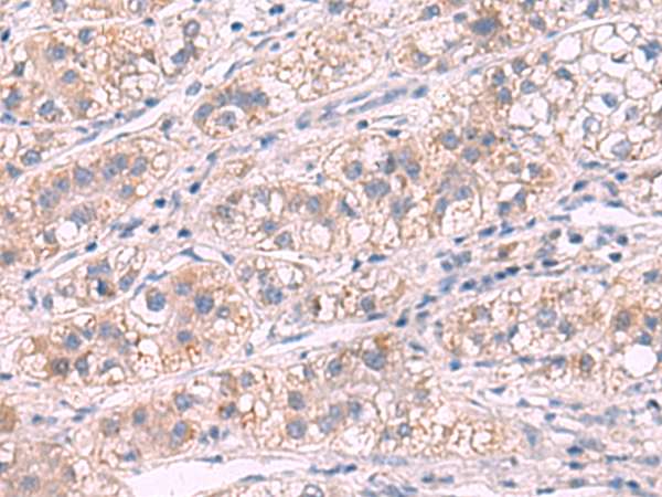
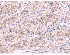
Glucose-6-phosphatase (G6Pase) is a multi-subunit integral membrane protein of the endoplasmic reticulum that is composed of a catalytic subunit and transporters for G6P, inorganic phosphate, and glucose. This gene (G6PC) is one of the three glucose-6-phosphatase catalytic-subunit-encoding genes in human: G6PC, G6PC2 and G6PC3. Glucose-6-phosphatase catalyzes the hydrolysis of D-glucose 6-phosphate to D-glucose and orthophosphate and is a key enzyme in glucose homeostasis, functioning in gluconeogenesis and glycogenolysis. Mutations in this gene cause glycogen storage disease type I (GSD1). This disease, also known as von Gierke disease, is a metabolic disorder characterized by severe hypoglycemia associated with the accumulation of glycogen and fat in the liver and kidneys. |
|
Applications: |
ELISA, IHC |
|
Name of antibody: |
G6PC |
|
Immunogen: |
Synthetic peptide of human G6PC |
|
Full name: |
glucose-6-phosphatase catalytic subunit |
|
Synonyms: |
G6PT; GSD1; G6PC1; GSD1a; G6Pase |
|
SwissProt: |
P35575 |
|
ELISA Recommended dilution: |
5000-10000 |
|
IHC positive control: |
Human liver cancer |
|
IHC Recommend dilution: |
50-300 |

購物車
幫助
021-54845833/15800441009
