中文名稱: 兔抗ITGA2多克隆抗體
英文名稱: Anti-ITGA2 rabbit polyclonal antibody
宿 主: Rabbit
|
Background: |
This gene encodes the alpha subunit of a transmembrane receptor for collagens and related proteins. The encoded protein forms a heterodimer with a beta subunit and mediates the adhesion of platelets and other cell types to the extracellular matrix. Loss of the encoded protein is associated with bleeding disorder platelet-type 9. Antibodies against this protein are found in several immune disorders, including neonatal alloimmune thrombocytopenia. This gene is located adjacent to a related alpha subunit gene. Alternative splicing results in multiple transcript variants. |
|
Applications: |
ELISA, WB, IHC |
|
Name of antibody: |
ITGA2 |
|
Immunogen: |
Synthetic peptide of human ITGA2 |
|
Full name: |
integrin, alpha 2 (CD49B, alpha 2 subunit of VLA-2 receptor) |
|
Synonyms: |
BR; GPIa; CD49B; HPA-5; VLA-2; VLAA2 |
|
SwissProt: |
P17301 |
|
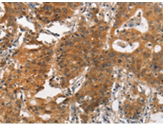
IHC positive control: |
Human gastric cancer and human breast cancer |
|
IHC Recommend dilution: |
25-100 |
|
WB Predicted band size: |
129 kDa |
|
WB Positive control: |
A431 cells |
|
WB Recommended dilution: |
200-1000 |


購物車
幫助
021-54845833/15800441009
