中文名稱: 兔抗ADD1 (Phospho-Ser726) 多克隆抗體
|
Background: |
Adducins are a family of cytoskeleton proteins encoded by three genes (alpha, beta, gamma). Adducin is a heterodimeric protein that consists of related subunits, which are produced from distinct genes but share a similar structure. Alpha- and beta-adducin include a protease-resistant N-terminal region and a protease-sensitive, hydrophilic C-terminal region. Alpha- and gamma-adducins are ubiquitously expressed. In contrast, beta-adducin is expressed at high levels in brain and hematopoietic tissues. Adducin binds with high affinity to Ca(2+)/calmodulin and is a substrate for protein kinases A and C. Alternative splicing results in multiple variants encoding distinct isoforms; however, not all variants have been fully described. |
|
Applications: |
WB, IHC, IF |
|
Name of antibody: |
ADD1 (Phospho-Ser726) |
|
Immunogen: |
Synthetic peptide of human ADD1 (Phospho-Ser726) |
|
Full name: |
adducin 1 (alpha) (Phospho-Ser726) |
|
Synonyms: |
ADDA |
|
SwissProt: |
P35611 |
|
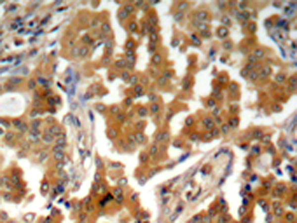
IHC positive control: |
Human lung carcinoma |
|
IHC Recommend dilution: |
50-100 |
|
WB Predicted band size: |
130 kDa |
|
WB Positive control: |
Hela cells |
|
WB Recommended dilution: |
500-1000 |
|
IF Positive control: |
Hela cells |
|
IF Recommended dilution |
100-200 |

購物車
幫助
021-54845833/15800441009
