中文名稱:兔抗CACNA1A多克隆抗體
|
Background: |
Voltage-dependent calcium channels mediate the entry of calcium ions into excitable cells, and are also involved in a variety of calcium-dependent processes, including muscle contraction, hormone or neurotransmitter release, and gene expression. Calcium channels are multisubunit complexes composed of alpha-1, beta, alpha-2/delta, and gamma subunits. The channel activity is directed by the pore-forming alpha-1 subunit, whereas, the others act as auxiliary subunits regulating this activity. The distinctive properties of the calcium channel types are related primarily to the expression of a variety of alpha-1 isoforms, alpha-1A, B, C, D, E, and S. This gene encodes the alpha-1A subunit, which is predominantly expressed in neuronal tissue. Mutations in this gene are associated with 2 neurologic disorders, familial hemiplegic migraine and episodic ataxia 2. This gene also exhibits polymorphic variation due to (CAG)n-repeats. Multiple transcript variants encoding different isoforms have been found for this gene. In one set of transcript variants, the (CAG)n-repeats occur in the 3' UTR, and are not associated with any disease. But in another set of variants, an insertion extends the coding region to include the (CAG)n-repeats which encode a polyglutamine tract. Expansion of the (CAG)n-repeats from the normal 4-16 to 21-28 in the coding region is associated with spinocerebellar ataxia 6. |
|
Applications: |
ELISA, IHC |
|
Name of antibody: |
CACNA1A |
|
Immunogen: |
Synthetic peptide of human CACNA1A |
|
Full name: |
calcium channel, voltage-dependent, P/Q type, alpha 1A subunit |
|
Synonyms: |
BI; EA2; FHM; MHP; APCA; HPCA; MHP1; SCA6; CAV2.1; CACNL1A4 |
|
SwissProt: |
O00555 |
|
ELISA Recommended dilution: |
1000-2000 |
|
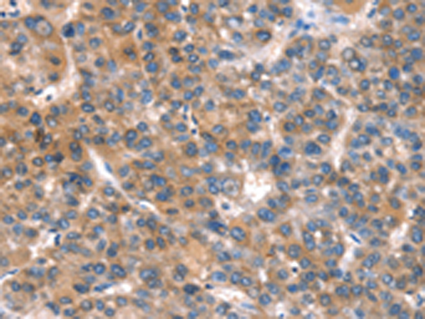
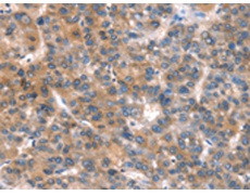
IHC positive control: |
Human liver cancer and Human gastric cancer |
|
IHC Recommend dilution: |
15-50 |

購物車
幫助
021-54845833/15800441009
