中文名稱(chēng):兔抗BSPRY多克隆抗體
|
Background: |
BSPRY (B-box and SPRY domain containing) is a 402 amino acid protein that localizes to both the membrane and the cytoplasm and contains one B box-type zinc finger and one B30.2/SPRY domain. Existing as two alternatively spliced isoforms, BSPRY interacts with TRPV5 and TRPV6 and is thought to regulate the transport of calcium across the epithelium, probably by inhibiting the activity of TRPV proteins. The gene encoding BSPRY maps to human chromosome 9, which houses over 900 genes and comprises nearly 4% of the human genome. Hereditary hemorrhagic telangiectasia, which is characterized by harmful vascular defects, and Familial dysautonomia, are both associated with chromosome 9. Notably, chromosome 9 encompasses the largest interferon family gene cluster. |
|
Applications: |
ELISA, IHC |
|
Name of antibody: |
BSPRY |
|
Immunogen: |
Synthetic peptide of human BSPRY |
|
Full name: |
B-box and SPRY domain containing |
|
SwissProt: |
Q5W0U4 |
|
ELISA Recommended dilution: |
5000-10000 |
|
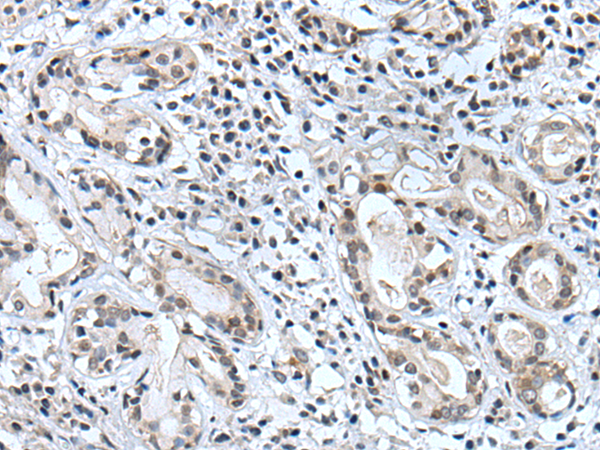
IHC positive control: |
Human lung cancer |
|
IHC Recommend dilution: |
20-100 |

購(gòu)物車(chē)
幫助
021-54845833/15800441009
