中文名稱:兔抗BCLAF1多克隆抗體
|
Background: |
This gene encodes a transcriptional repressor that interacts with several members of the BCL2 family of proteins. Overexpression of this protein induces apoptosis, which can be suppressed by co-expression of BCL2 proteins. The protein localizes to dot-like structures throughout the nucleus, and redistributes to a zone near the nuclear envelope in cells undergoing apoptosis. Multiple transcript variants encoding different isoforms have been found for this gene. |
|
Applications: |
ELISA, IHC |
|
Name of antibody: |
BCLAF1 |
|
Immunogen: |
Synthetic peptide of humanBCLAF1 |
|
Full name: |
BCL2-associated transcription factor 1 |
|
Synonyms: |
BTF; bK211L9.1 |
|
SwissProt: |
Q9NYF8 |
|
ELISA Recommended dilution: |
2000-5000 |
|
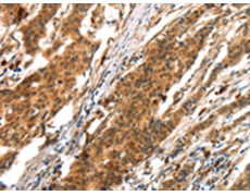
IHC positive control: |
Human gastric cancer |
|
IHC Recommend dilution: |
25-100 |

購(gòu)物車
幫助
021-54845833/15800441009
