中文名稱(chēng):兔抗BBX多克隆抗體
|
Background: |
Transcription factor that is necessary for cell cycle progression from G1 to S phase. |
|
Applications: |
ELISA, IHC |
|
Name of antibody: |
BBX |
|
Immunogen: |
Fusion protein of human BBX |
|
Full name: |
BBX high mobility group box domain containing |
|
Synonyms: |
HBP2; ARTC1; MDS001; HSPC339 |
|
SwissProt: |
Q8WY36 |
|
ELISA Recommended dilution: |
5000-10000 |
|
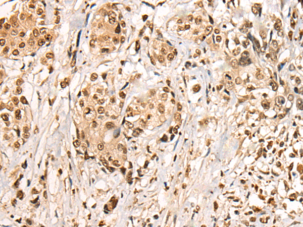
IHC positive control: |
Human prostate cancer |
|
IHC Recommend dilution: |
20-100 |

購(gòu)物車(chē)
幫助
021-54845833/15800441009
