中文名稱:兔抗B3GALTL多克隆抗體
|
Background: |
The protein encoded by this gene is a beta-1,3-glucosyltransferase that transfers glucose to O-linked fucosylglycans on thrombospondin type-1 repeats (TSRs) of several proteins. The encoded protein is a type II membrane protein. Defects in this gene are a cause of Peters-plus syndrome (PPS). |
|
Applications: |
WB, IHC |
|
Name of antibody: |
B3GALTL |
|
Immunogen: |
Synthesized peptide derived from C-terminal of human B3GALTL. |
|
Full name: |
beta 1,3-galactosyltransferase-like |
|
Synonyms: |
B3GTL; Gal-T; B3GLCT; B3Glc-T; beta3Glc-T |
|
SwissProt: |
Q6Y288 |
|
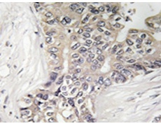
IHC positive control: |
Human liver carcinoma tissue |
|
IHC Recommend dilution: |
50-100 |
|
WB Predicted band size: |
57 kDa |
|
WB Positive control: |
HepG2 cells, Jurkat cells, MCF-7 cells and Huvec cells lysates |
|
WB Recommended dilution: |
500-3000 |


購(gòu)物車
幫助
021-54845833/15800441009
