中文名稱:兔抗ART5多克隆抗體
|
Background: |
The protein encoded by this gene belongs to the ARG-specific ADP-ribosyltransferase family. Proteins in this family regulate the function of target proteins by attaching ADP-ribose to specific amino acid residues in their target proteins. The mouse homolog lacks a glycosylphosphatidylinositol-anchor signal sequence and is predicted to be a secretory enzyme. Transcript variants with different 5' UTRs, but encoding the same protein have been found for this gene. |
|
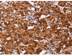
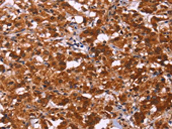
Applications: |
ELISA, IHC |
|
Name of antibody: |
ART5 |
|
Immunogen: |
Fusion protein of human ART5 |
|
Full name: |
ADP-ribosyltransferase 5 |
|
Synonyms: |
ARTC5 |
|
SwissProt: |
Q96L15 |
|
ELISA Recommended dilution: |
2000-10000 |
|
IHC positive control: |
Human thyroid cancer and human brain |
|
IHC Recommend dilution: |
100-300 |
購物車
幫助
021-54845833/15800441009
