中文名稱:兔抗ARL17A/ARL17B多克隆抗體
|
Background: |
ARL17 (ADP-ribosylation factor-like protein 17), also known as ARF1P2 or ARL17P1, is a 177 amino acid member of the ARF protein family. In human, there are two genes which have been identified as ARL17A and ARL17B that code for identical proteins and colocalize at chromosomal position 17q21.31. ARL17 functions as an activator of the cholera toxin catalytic subunit, an ADP-ribosyltransferase. Localized to the Golgi apparatus, ARL17 may also be involved in the modulation of vesicle budding and uncoating within the Golgi. ARL17 is expressed as three isoforms produced by alternative splicing events.GTP-binding protein that functions as an allosteric activator of the cholera toxin catalytic subunit, an ADP-ribosyltransferase. Involved in protein trafficking; may modulate vesicle budding and uncoating within the Golgi apparatus (By similarity). |
|
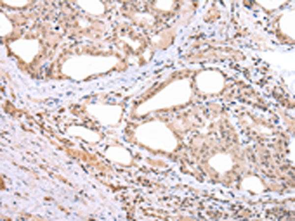
Applications: |
ELISA, IHC |
|
Name of antibody: |
ARL17A/ARL17B |
|
Immunogen: |
Fusion protein of human ARL17A/ARL17B |
|
Full name: |
ADP ribosylation factor like GTPase 17A/B |
|
Synonyms: |
ARF1P2; ARL17P1; ARL17; ARL17A |
|
SwissProt: |
Q8IVW1 |
|
IHC positive control: |
Human thyroid cancer and Human brain |
|
IHC Recommend dilution: |
25-100 |
購物車
幫助
021-54845833/15800441009
