|
Background: |
Acts as a negative mediator of apoptosis and may play a role in tumor progression. Suppresses the TNF-mediated apoptosis by inhibiting caspase-8 activity but not the processing of procaspase-8, subsequently resulting in inhibition of BID cleavage and caspase-3 activation. |
|
Applications: |
WB, IHC, IF |
|
Name of antibody: |
TNFAIP8 |
|
Immunogen: |
Synthesized peptide derived from internal of human TFIP8. |
|
Full name: |
tumor necrosis factor, alpha-induced protein 8 |
|
Synonyms: |
tumor necrosis factor, alpha-induced protein 8 |
|
SwissProt: |
O95379 |
|
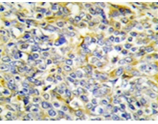
IHC positive control: |
Human lung carcinoma tissue |
|
IHC Recommend dilution: |
50-100 |
|
WB Predicted band size: |
23 kDa |
|
WB Positive control: |
Huvec cells lysate |
|
WB Recommended dilution: |
500-3000 |
|
IF positive control: |
A549 cells |
|
IF Recommend dilution: |
100-500 |


購(gòu)物車
幫助
021-54845833/15800441009
